Острая травма и посттравматические состояния коленного сустава у детей
Книги / Эндоскопическая хирургия у детей / Артроскопическая хирургия / Острая травма и посттравматические состояния коленного сустава у детей
Страница 3

Вышеописанная клиническая картина характерна для детей, поступивших с острым травматическим гемартрозом. Клиническая картина у пациентов с осложнениями гемартроза имеет ряд существенных отличий. В первую очередь обращает на себя внимание гипотрофия мышц бедра (медиальной ножки четырехглавой мышцы бедра), т.е. положительный симптом Чаклина. Контуры сустава нормальной конфигурации (при отсутствии выпота) или сглажены (при наличии выпота в полости сустава). У всех больных наблюдается ограничение движения в суставе от 15 до 110°.

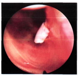
У больных с отрывом костно-хря-щевого фрагмента отмечаются периодические блокады травмированного сустава, наличие болевого симптома и выпота в полость сустава (рис. 32-1).

Часть пациентов могут определять наличие свободно перемещающегося тела в полости сустава. Больные, у ко-торых мы впоследствии обнаружили посттравматические спайки в латеральном отделе сустава (12 пациентов), между синовиальной капсулой и латеральным мыщелком бедренной кости, жаловались на чувство натяжения по наружной поверхности бедра во время ходьбы и при сгибании ноги в коленном суставе. У части больных ведущим клиническим симптомом является постоянное наличие выпота в полость коленного сустава, который накапливается после каждой пункции сустава через 2—3 нед. У большинства больных с осложнениями гемартроза отмечается локальное повышение температуры.

При оценке рентгенограмм учитывают возрастные особенности строения костей, сроки появления ядер окостенения, а также варианты развития эпифизов и надколенника. В случае отсутствия видимой патологии особое внимание уделяют осмотру контуров мыщелков бедренной кости, так как при отрыве костно-хрящевого фрагмента их целостность нарушена. Рентгенологическими признаками гемартроза являются увеличение контура сустава за счет мягкотканого компонента, увеличение в объеме верхнего заворота, расширение пателлофеморального сочленения и внутрисуставной щели, затемнение заворотов (чаще верхнего), иногда затемнение в ромбовидном пространстве. В случае неясности клинико-рентгенологической картины мы используем рентгенографию обоих коленных суставов в двух проекциях, что позволяет выявить индивидуальные особенности строения костей у ребенка и провести дифференциальную диагностику между нормой и патологией. На нарушение функции передней крестообразной связки указывает отрыв костно-хрящевого фрагмента в межмыщелковом возвышении большеберцовой кости. Отрыв собственной связки надколенника происходит вместе с костно-хрящевым фрагментом от бугристости большеберцовой кости, что наблюдается только у детей старшего возраста (после 12-14 лет), когда уже сформирована бугристость большеберцовой кости. Переломы надколенника, а также отрывы небольших костных фрагментов от надколенника у детей наблюдаются редко. Их не надо путать с самостоятельными ядрами окостенения надколенника, которые формируются по нижнему контуру и обычно располагаются симметрично с обеих сторон. Серьезным недостатком рентгенографии является то, что она помогает лишь при отрывах фрагментов, содержащих костную ткань толщиной более 1 мм. При отрывах хрящевых фрагментов рентгенография информации не несет.

Р. с 32-1. Костно-хрящевой фрагмент в полоскости коленного сустава

Р. с 32-1. Костно-хрящевой фрагмент в полоскости коленного сустава

Одним из методов, применяемых в травматологии, является пневмоарт-рография, помогающая диагностировать отрыв костно-хрящевого фрагмента. Однако, с нашей точки зрения, при наличии артроскопии данная методика утратила свою актуальность в виду ее незначительной информативности. Как с диагностической, так и с лечебной целью при гемартрозе применяется пункция коленного сустава. Удаляя скопившуюся в полости сустава жидкость, снижают давление, которое она оказывает на капсулу сустава, что приводит к уменьшению болевого симптома. В зависимости от характера полученной жидкости проводят дифференциальную диагностику между гемартрозом и синовитом, что в дальнейшем определяет лечебную тактику. Необходимо отметить, что пункция коленного сустава имеет некоторые недостатки, такие, как невозможность полного удаления геморрагического содержимого за счет малого диаметра иглы, который не позволяет проходить через нее сгусткам крови, образующимся при разрывах капсулы, жировой подвески, при отрывах хрящевых фрагментов и нерештенеконтрастных внутрисуставных переломах. Одним из возможных осложнений пункции является инфицирование полости коленного сустава. Помимо этого, при проведении пункции возможна травматизация внутрисуставных структур, таких, как передняя крестообразная связка, жировая подвеска и др., что может усугубить течение процесса. При проведении пункции возможно также попадание иглы в мягкотканые внутрисуставные структуры, что не позволяет получить выпот, а это в свою очередь приводит к диагностической ошибке.

Страницы: 1 2 3 4 5 6 7 8 9 10 11 12 13 14 15 16 17 18 19 20 21 22