Эндоскопическая хирургия срединно расположенных кистозных ликворных мальформаций головного мозга
Книги / Эндоскопическая хирургия у детей / Нейроэндоскопические операции / Эндоскопическая хирургия срединно расположенных кистозных ликворных мальформаций головного мозга
Страница 8

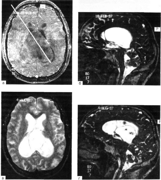
Рис. 38-8. Гигантская киста межжелудочковой перегородки.

Рис. 38-8. Гигантская киста межжелудочковой перегородки.

Вверху: аксиальный (а) и сагиттальный (б) МРТ-срезы (фазово-контрастное исследование). Показана траектория продвижения эндоскопом сквозь передний рог правого бокового желудочка и просвет кисты в задний рог левого бокового желудочка; внизу: исследование через 6 мес после операции. Видна релаксация стенок кисты (в), появился просвет желудочков, которые до операции были практически полностью выполнены объемом кистознои мальформации. Темные области площади кисты на сагиттальном срезе (г) соответствуют окнам в ее стенках, прорезанным во время операции, и обусловлены турбулирующим током ликвора сквозь эти отверстия.

Литература

1. Добровольский Г.Ф., Вихерт Т.М., Ивакина Н.И., Никулина Л.А. Арахно-идальные кисты (патоморфологическое исследование) // Журн. невропатол. и психиатр. - 1990. - Т. 90, № 10. - С. 20-25.

2. Иова А.С., Гармашов Ю.А., Петраки В.Л. Внутричерепные эндоскопические операции с ультрасонографическим обеспечением в нейрохирургии детского возраста (возможности и перспективы) // Вопр. нейрохир. — 1997. — № 1. - С. 23-27.

3. Коновалов А.Н., Меликян А.Г., Кушвль Ю.В., Пронин И.Н. Использование навигационной системы Stealth Station™ для удаления опухолей головного мозга // Там же. - 2001. - № 2. - С. 3-11.

4. Коновалов А.Н., Ростоцкая В.И., Ивакина Н.И Хирургическое лечение супраселлярных ликворных кист // Там же. — 1988. - № 1. — С. 11-16.

5. Меликян А.Г., Голанов А.В., Потапов А.А., Лобанов С.А. КТ-стереотакси-ческие пункции, аспирации и дренирование глубинных объемных процессов головного мозга (кистозные опухоли, гематомы, абсцессы) — Там же. - 1991. -№ 6. - С. 3-7.

6. Меликян А.Г., Озерова В.И., Брагина Н.Н., Колычева М.В. Эндоскопическая фенестрация срединных супратенториальных кистозных ликворных мальформаций // Там же. - 1999. — № 4. - С. 7-13.

7. Румянцев Б.В., Дюсембеков Е.К. йейросонография в хирургическом лечении поликистозной энцефалопатии у детей // Там же. — 1998. — № 1. — С. 19-21.

8. Albright I. Treatment of Bobble-Head Doll syndrome by transcallosal cystectomy // Neurosurgery. - 1981. - Vol. 8. - P. 593-595. s.

9. Aoky N. Cyst of the septum pellucidum presenting as hemiparesis // Childs Brain. - 1986. - Vol. 2. - P. 326-328. f

10. Auer L.M., Deinsberger W., Niederkom К et al. Endoscopic surgery versus medical treatment for spontaneous intracerebral hematoma: if randomized study // J. Neurosurg. - 1989. - Vol. 70. - P. 530-535.

11. Auer L.M., Gallhoffer В., Ladurner G. et al., Diagnosis and treatment of middle fossa arachnoid cysts and subdural hematomas/ Ibid. - 1981. - Vol. 54. -P. 366-369.

12. Auer L.M., Holzer P., Ascher P.W. et al. Endoscopic neurosurgery // Acta Neurochir (Wien). - 1988. - Vol. 90. - P. 1-14.

13. Caemert J. Endoscopic neurosurgery // Operative neurosurgical techniques / Ed. H.H. Schmidek - N.Y.: W.B. Saunders, 2000. - Vol. I. - P. 535-570.

14. Cinalli G., Sainte-Rose C, Chumas P. et al. Failure of III ventriculostomy in obstructive triventricular hydrocephalus // Childs Nerv. Syst. - 1998. - Vol. 14. -P. 683.

15. Ciricillo S.F., Cogen P.H., Harsh G.R., Edwards M.S.B. Intracranial arachnoid cysts in children: a comparison of the effects of fenestration and shunting // J. Neurosurg. - 1991. - Vol. 74. - P. 230-235.

16. CrosbyR.M.N., Henderson СМ., PaulR.L. Catheterization ofthe cerebral aqueduct for obstructive hydrocephalus in infants // Ibid. - 1973. - Vol. 38. - P. 596-601.

17. Friede B L., YasargilM.G Supratentorial intracranial epithelial (ependimal) cysts: Review, case reports, and fine structure // J. Neurol. Neurosurg. Psychiatry. - 1977. — Vol. 40. - P. 127-137.

18. Heiskanen O. Cyst of the septum pellucidum causing increased intracranial pressure and hydrocephalus. Case report // J. Neurosurg. - 1973. - Vol. 38. -P. 771-773.

Страницы: 1 2 3 4 5 6 7 8 9 10